This is one of the most common cosmetic treatments requested at our dental office. As a result, our clinic is always looking for the newest and safest technologies for our clients to have pearly white teeth that last. There is a range of natural teeth colors and reasons for discoloration. So there are many treatment options depending on your preference and make up of your teeth. Come in to discuss your options today.
- Professional teeth whitening is a safe procedure if done by dentists and other dental providers. The active ingredient can be harmful for the gum if used incorrectly. Therefore it is important to follow instructions and be monitored by our dental professional team.
- Teeth can discolor due to aging, diets, tobacco use, and hygiene. Some discoloration can also be caused by intrinsic factors such as development and prenatal drug use. Dr. Huang and his team will discuss with you and identify which is the main cause in your case and design a plan that can specifically tackle the issue.
- Teeth have the highest chance to discolor right after the whitening treatment. It is very important to follow post whitening instructions to ensure optimal results. Typically we can expect the whitening results to last anywhere between 9~24 months depending on diet and other factors as discussed.
- The results of the whitening treatment vary between individuals. It depends on the causes of discoloration and the original color the individual was born with. Dr. Huang will discuss the expectations with you before recommending an appropriate treatment.
- The whitening agent works by opening up microscopic channels on the surfaces of the enamel and dissolving away the stains. Although it does not cause permanent changes to the teeth, the treatment can cause sensitivity to cold especially right after the treatment. Post-op instructions and de-sensitizers will be provided at the end of the treatment and follow-up appointments will be included as needed.
- Professional whitening can be done both in-office and take-home methods. In-office whitening treatment is typically a 120 minutes procedure where a whitening gel will be placed on your teeth. These gel will be activated to whiten your teeth during which you’ll be relaxing in the chair watching your favorite show or simply close your eyes with your favorite music. When the session is over, we will provide you with after-care instructions.
- The take-home method starts with the fabrication of a custom-fitted tray that we’ll make beforehand. A special whitening gel will be given to you depending on your individual situation. Instructions will be given on how to apply gel and the duration to wear the tray. A follow up appointment will be made at 1~2 week intervals to ensure progress. Both options can be effective depending on individual needs; come in for a consultation today to see which one is the best for you.
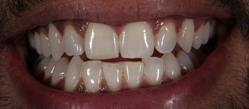
Before Treatment

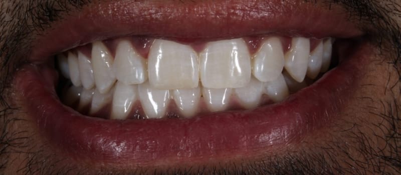
After Treatment

Appointment Request
Monday 9 am ~ 5 pm
Tuesday 10 am ~ 7 pm
Wednesday 8 am ~ 6 pm
Thursday 10 am ~ 7 pm
Friday 8 am ~ 2 pm
Saturday 9 am ~ 5 pm
 
			
							