Occasionally we get cavities and a filling is used to restore the tooth. Initially the tooth is cleaned out and the dentist fills the cavity with filling material. This will prevent further decay of the tooth. Filling material has advanced and a silver filling is no longer the only option. The filling color can match your teeth, so it will be unnoticeable and natural looking. Dental fillings help to restore the shape, function, and integrity of the affected tooth, preventing further decay and preserving oral health.
- Amalgam
- Made from a combination of metals including silver, tin, copper, and mercur;, amalgam fillings have been used for decades. They are durable and cost-effective, but their metallic appearance makes them less aesthetically pleasing than other options.
 
- Composite
- Composed of a mixture of plastic and fine glass particles; composite fillings are tooth-colored and blend seamlessly with natural teeth. They are a popular choice for visible teeth due to their aesthetic appeal, but they may not be as durable as amalgam fillings and can be more prone to staining over time.
 
- Glass Ionomer
- These fillings are made of acrylic and a type of glass material. They release fluoride, which can help prevent further decay. While not as durable as other types of fillings, they are often used for children’s teeth or for small fillings in areas with minimal chewing pressure.
 
- The procedure for placing fillings typically involves numbing the area with a local anesthetic, so patients usually do not experience pain during the process. However, some sensitivity or discomfort may occur after the anesthesia wears off, which usually subsides within a few days.
- The lifespan of a filling depends on various factors, including the type of filling material used, the location of the filling, and individual oral hygiene habits. On average, amalgam fillings can last 10 to 15 years, while composite fillings may last 5 to 10 years or longer with proper care.
- It is generally recommended to wait until the anesthesia wears off completely before eating to avoid accidentally biting your cheek or tongue. Once the numbness subsides, you can resume your normal eating habits.
- The cost of dental fillings varies based on the particular tooth (i.e. incisors, premolars, molars), number of surfaces involved (i.e. large vs small areas to be replaced), and the materials used. Dr. Huang will conduct a thorough examination along with a radiograph in order to recommend treatment options and associated cost for you.
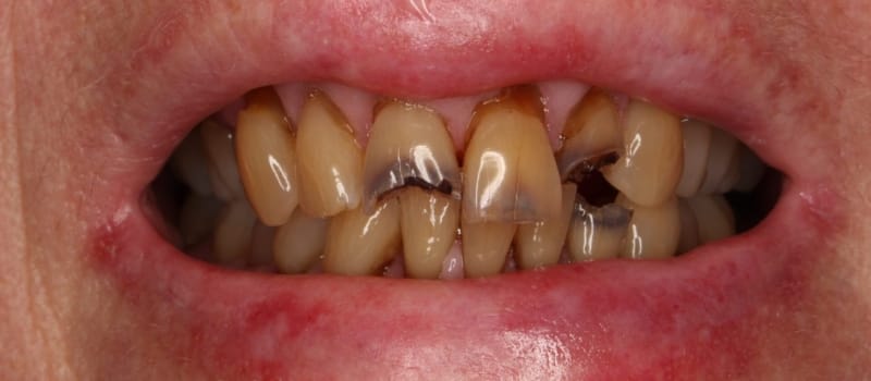
Before Treatment

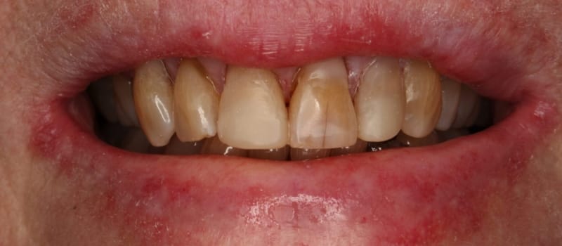
After Treatment

Appointment Request
Monday 9 am ~ 5 pm
Tuesday 10 am ~ 7 pm
Wednesday 8 am ~ 6 pm
Thursday 10 am ~ 7 pm
Friday 8 am ~ 2 pm
Saturday 9 am ~ 5 pm
Appointment Request
Monday 9 am ~ 5 pm
Tuesday 10 am ~ 7 pm
Wednesday 8 am ~ 6 pm
Thursday 10 am ~ 7 pm
Friday 8 am ~ 2 pm
Saturday 9 am ~ 5 pm
 
			
							