When you have a missing tooth one way to fill the gap is to use the existing teeth on either side of the gap to ‘bridge’ the gap. A bridge is designed by creating an artificial tooth fused between two crowns. A crown is a cap over your existing tooth. So in this procedure a crown will be made for each tooth beside the gap and the artificial tooth fused between these crowns will fill the gap in your smile.
- Traditional Bridges:
- These are the most common type of dental bridges, consisting of one or more artificial teeth (pontics) held in place by dental crowns on the adjacent natural teeth.
 
- Cantilever Bridges:
- Unlike traditional bridges, which are supported on both sides, cantilever bridges are anchored on only one side by one or more dental crowns cemented to adjacent natural teeth.
 
- Maryland Bridges:
- These bridges are made of a metal or porcelain framework with artificial teeth attached. They are bonded to the back of adjacent natural teeth using a resin cement.
 
- Implant-Supported Bridges:
- These bridges are supported by dental implants surgically placed into the jawbone, offering exceptional stability and function. They are suitable for patients missing multiple teeth in a row.
 
- With proper care and maintenance, dental bridges can last anywhere from 5 to 15 years or even longer. Just like dental crowns, dental bridges may need to be replaced due to cavities of the anchoring teeth or fracturing of the bridge itself. It is imperative to have proper home care and attend regular dental check-ups and cleanings.
- The process of getting a dental bridge is not painful as it is performed under local anesthesia. Some patients may experience mild discomfort or sensitivity after the procedure. The discomfort should only last a few days at most.
- Proper oral hygiene, including regular brushing, flossing, and routine dental check-ups, is essential for maintaining the longevity of your dental bridge. Avoiding hard foods can also help prevent damage to the bridge.
- The cost of dental bridges varies depending on factors such as the type of bridge, materials used, and the complexity of the case. While dental bridges may require a significant upfront investment, they are a great permanent option for replacing single to multiple teeth.
- Not everyone is a suitable candidate for dental bridges. The adjacent anchoring teeth that support the bridge need to be strong and healthy in order for the case to last long term. A thorough evaluation by Dr. Huang is necessary to determine if a bridge is the right treatment option for you.
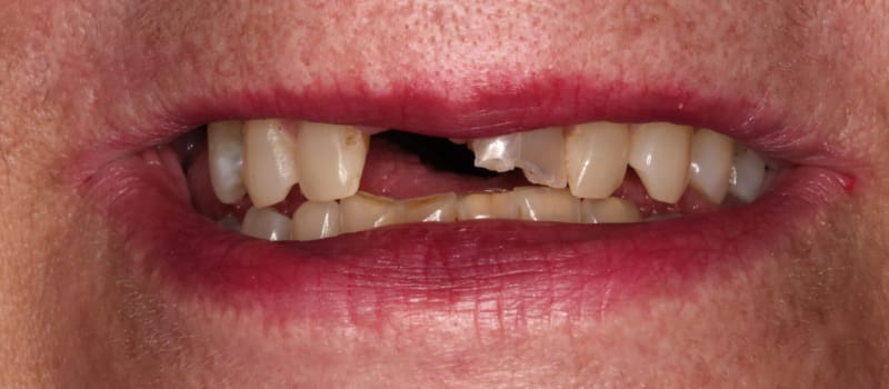
Before Treatment

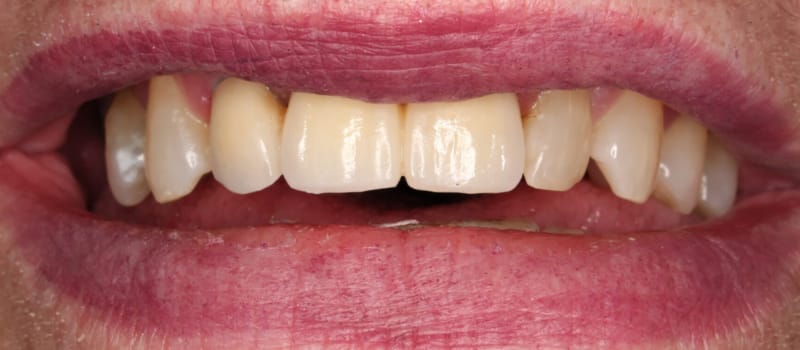
After Treatment

Appointment Request
Monday 9 am ~ 5 pm
Tuesday 10 am ~ 7 pm
Wednesday 8 am ~ 6 pm
Thursday 10 am ~ 7 pm
Friday 8 am ~ 2 pm
Saturday 9 am ~ 5 pm
Appointment Request
Monday 9 am ~ 5 pm
Tuesday 10 am ~ 7 pm
Wednesday 8 am ~ 6 pm
Thursday 10 am ~ 7 pm
Friday 8 am ~ 2 pm
Saturday 9 am ~ 5 pm
 
			
							